647f4d41b31d200001871ad5
RASHIDENTAL
647f4d41b31d200001871ad5
RASHIDENTAL
services
6942c95084381c561fee6b12
Dr. Dakaha's Rashi Dental Clinic - Smylist.in
Thank you for writing to us. One of our executive will reach back to you through your submitted medium. In case there’s an urgency, feel free to connect over WhatsApp for faster response.
Chat with us on whatsapp
Prefer calling? Dial +918600111087 (International callers) or +918600111087 (Indian callers).
0
https://www.smylist.in/latest-update/post-and-core-procedure-the-post-and-core-procedu/41
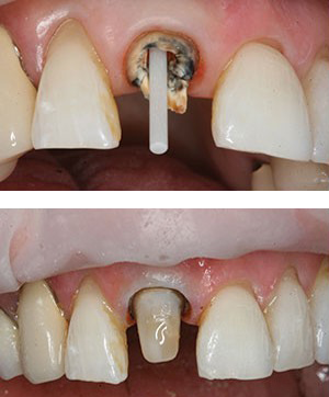
Post and Core Procedure
The post and core procedu...
Post and Core Procedure
The post and core procedure is a restorative dental treatment often used to rebuild and strength a tooth that has undergone significant structural damage.
The tooth is significantly weakened or damaged.
There is insufficient tooth structure to retain a crown .
For a more information visit Dr Dakaha's at Rashi Dental Clinic
#rashidentalclinic
#drdakaha
#nearbydentist
#dentistingandhichowksadar
#smylist.in
#dentistinnagpur
Keywords
significantly weakened
core procedure
insufficient tooth structure
restorative dental treatment
×
537F+59P, 3rd Floor, Guman Building, Residency Road, Sadar, Nagpur, Maharashtra 440001, India
440001
Nagpur
India
+918600111087
Dr. Dakaha's Rashi Dental Clinic - Smylist.in
https://www.smylist.in
1
True
Braces Treatment
Root Canal Treatment
Dental Implant
Child Dentistry
Temporomandibular Joint Disorders
Wisdom Tooth removal
Denture
Gummy Smile
Dental Crowns & Bridges
Ceramic Crown
Full Mouth Rehabilitation
Cosmetic Dentistry
Teeth Whitening
Composite Bonding
Porcelain Veneers
Inlays & Onlays
Comprehensive Oral Examination
Gum Care
Bad Breath
Oral Hygiene
General Consultation
64886494b710d3065f82c3ac ,
64886434b710d3065f82c3a6 ,
6488633ece21e00f6d785a6f ,
648862c8f20cc36f079df424 ,
64886273dd0393586a5a3534 ,
6488621297021d58e3b614f1 ,
648860fddd0393586a5a3529 ,
64886011af359e5ea70b84dc ,
64885e9738057e9096bd8909 ,
64885e3ab710d3065f82c37d ,
64885df738057e9096bd8903 ,
64885d6597021d58e3b614af ,
64885c67ac3dfc7e02d2e202 ,
64885bc938057e9096bd88fd ,
64885ace9b174fd7ac1cab26 ,
648859a9595b4f6e5f7ebdc5 ,
648857e29b174fd7ac1cab19 ,
648857149b174fd7ac1cab0b ,
648856c997021d58e3b61485 ,
64885670f16ba0366f994587 ,
Book Appointment
Consultation
Doctor
Lawyer
Engineer
Fee Rs 400
Request Appointment
By clicking on ‘Send Request’, you choose to agree to our Terms & Conditions.
Send Request
Slot Selected
06:00 PM - 06:30 PM
By clicking on ‘Send Request’, you choose to agree to our Terms & Conditions.
Send Request
Appointment Requested
Your appointment ID is DVSX5
Doctor Name:
Date & Time:
Clinic Contact:
Address:
Service Selected:
Appointment Fee:
Payment mode:
Doctor Name:
Date & Time:
Clinic Contact:
Appointment URL:
Join Link
Service Selected:
Appointment Fee:
Payment mode:
📩 Above details have been sent to your phone at +91-8543546578 and email at
sussainbahl@gmail.com.
🏥 Please arrive at the clinic at least 10 minutes before the scheduled time. Doctor will attend once clearing any available patient in line.
Print Appointment Details
6792228e101b6a6540e12c77 647f4d41b31d200001871ad5