+918600111087

RASHIDENTAL https://www.smylist.in
Preview

This is your website preview.

Currently it only shows your basic business info. Start adding relevant business details such as description, images and products or services to gain your customers attention by using Boost 360 android app / iOS App / web portal.

918600111087

🦷Say Goodbye to Badd Breath at Residential Clinic ...

Why Choose Rashi Dental Clinic for Exceptional Gu...

A cavity, also called tooth decay, is a hole that ...

Tell your dentist (and doctor) if you are pregnant...

How to Prevent Tooth Sensitivity and Keep Your Smi...

Everyone wants a picture-perfect smile. And you ev...

Smile Bright, Live Confidently!💫 At Dr Dakaha's ...

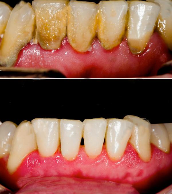
Scaling Treatment Scaling is also known as dental...

services